![]() |
| നാക്കു കൊണ്ട് മണം പിടിക്കുന്ന പാമ്പ് |
![]() |
| കണ്ണിന്റെ ഛേദം |
![]() |
| ഷഡ്പദങ്ങളിലെ സംയുക്തനേത്രങ്ങൾ |
![]() |
| പ്രകാശതീവ്രതയ്ക്കനുസരിച്ച് ക്യഷ്ണമണിയുടെ വലുപ്പത്തിൽ വരുന്ന മാറ്റം |
![]() |
| ദ്യഷ്ടിപടലത്തിൽ പ്രതിബിംബം രൂപം കൊള്ളുന്ന വിധം |
![]() |
| പ്രെസ് ബയോപ്പിയ അഥവാ വെള്ളെഴുത്ത് |
![]() |
| സാധാരണ കാഴ്ചയും പ്രെസ് ബയോപ്പിയയിലെ പ്രതിബിംബവും |
![]() |
| തിമിരം ബാധിച്ച നേത്ര ലെൻസ് |
![]() |
| ഹ്യസ്വദ്യഷ്ടി |
![]() |
| ദീർഘദ്യഷ്ടി |
![]() |
| അസ്റ്റിഗ്മാറ്റിസം അഥവാ വിഷമദ്യഷ്ടി |
![]() |
| അസ്റ്റിഗ്മാറ്റിസമുള്ള കാഴ്ചയ്ക് ഉദാഹരണം |
![]() |
| അസ്റ്റിഗ്മാറ്റിസകാഴ്ചയ്ക്ക് മറ്റൊരു ഉദാഹരണം |
![]() |
| ദ്യഷ്ടിപടലവും പ്രകാശഗ്രാഹികോശങ്ങളും |
![]() |
| ദ്യഷ്ടിപടലവും കോൺ, റോഡ് കോശങ്ങളും |
![]() |
| 1. റോഡ് കോശം 2. കോൺ കോശം |
![]() |
| ടപ്പീറ്റം |
![]() |
| അന്ധബിന്ദു |
![]() |
| പീതബിന്ദു (ഫോവിയ) |
![]() |
| വർണാന്ധത തിരിച്ചറിയാനുള്ള ഇഷിയാര ടെസ്റ്റ്. വർണാന്ധത ഇല്ലാത്തവർ 74 ഉം ഉള്ളവർ 21 ഉം വായിക്കുന്നു |
![]() |
| ദ്വിനേത്ര ദർശനം |
![]() |
| കോങ്കണ്ണ് |
![]() |
| ഗ്ലൌക്കോമ |
![]() |
| കണ്ണുനീർ ഗ്രന്ഥികൾ |
![]() |
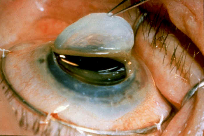
| കെരറ്റോപ്ലാസ്റ്റി - കോർണിയ മാറ്റിവയ്ക്കൽ ശസ്ത്രക്രിയ |
![]() |
| ചെവിയുടെ ഘടന |
| മധ്യകർണ്ണം |
![]() |
| ആന്തര കർണ്ണം |
![]() |
| ആംപ്യുല്ലയും കപ്യുല്ലയും |
![]() |
| നാക്കിലെ സ്വാദറിയാനുള്ള വിവിധ ഭാഗങ്ങൾ |
![]() |
| നാക്കിലെ പാപ്പില്ലകൾ |
![]() |
| സ്വാദ് ഗ്രാഹിയുടെ ഛേദം |
![]() |
| മൂക്കിലെ ഘ്രാണഗ്രാഹികൾ |
![]() |
| പാമ്പിൽ ഗന്ധം അറിയുന്ന രീതി - ജേക്കബ്സൺസ് ഓർഗൻ |
![]() |
| ത്വക്കിലെ വിവിധ ഗ്രാഹികൾ |



































